
DO YOU HAVE A
DENTAL EMERGENCY?
We are OPEN 8AM to 5PM MON – SAT!
Heightened sterilization standards & COVID-19 compliant!
Don’t wait till the last minute! Save money & pain!!!
Get immediate relief from toothache – TODAY!
WHAT IS YOUR DENTAL EMERGENCY?
Not all dental emergencies are the same. CALL us right away if you need immediate help. We always accept ALL dental emergencies regardless of how busy we are. Our #1 goal is to relieve you from pain. We have been serving the community well over 8 years. We have the expertise to treat any kind of dental emergency, be it bleeding, chipped tooth or filling, swelling, abscessed tooth or gum or just tooth ache in general. Remember we are ALWAYS here for you and just a phone call away. Please read below for important information about different dental emergencies. Let us know how we can help you.

Broken or Chipped Tooth
This is the most common dental emergency. Call us right away or walk-in for an appointment. In the meantime use warm water to rinse your mouth and ice it until you can be seen by us.

Swelling in your mouth
This is potentially life threatening. You might have an abscessed tooth. The risk of infection spreading to other parts of your body including your brain is high. You do NOT want to take any risk with this condition. CALL US NOW!

Loose Crown or Filling
This can cause sensitivity and pain. Hopefully you didn’t swallow it. Don’t worry if you did. We will advise you if you need to go to the ER to take care of it. Bring it with you if you have it. Be careful and don’t eat on that side until you are seen by us.
Your Title Goes Here
Did you know Emergency Room at the hospitals can not treat dental emergencies? At the most you will get prescriptions for a pain killer and antibiotic depending on your emergency. They will send you right back to a dentist. We have the expertise to treat any dental emergency. We can take care of you. We are standing by. We are OPEN on most weekdays, nights, weekends and holidays. Your Comfort is our #1 priority.
We are just a phone call away from Immediate Help

Painful Toothache
This could be for a number of reason and you cant self diagnose this one. You will need to come see us for proper diagnosis and treatment. Until then rinse you mouth with warm water and make sure there is no food lodged in the area by flossing.

Broken braces
While it’s rare, sometimes braces wire can break and cause discomfort or pain. If this happened to you, don’t panic. Use dental wax to soften the sharpness of the broken wire. If parts of it dislodged, keep them with you and bring it to the office. We can take care of your emergency.

Wisdom Tooth Pain
Wisdom teeth are one of the most painful when they erupt and most of the time they erupt crooked. Due to this they cause pain due to the pressure on adjacent teeth and gum and the resulting infection can be serious. Don’t take this lightly. Call us as soon as possible so we can take care of you.
Your Title Goes Here
Did you know people with more teeth live longer? Research has proven that oral health is vitally important to overall health. Oral health issues are linked to heart disease, diabetes, cancer of the kidney, pancreas and blood . When it comes to oral health, if your teeth or gum start to hurt, it’s usually too late. We have the expertise to treat any dental emergency. Don’t wait till it’s an emergency. Early treatment of problems, will save pain, teeth and money. We can take care of you. Your Comfort is our #1 priority. Take care of your emergency in a timely manner and schedule a well visit with us so we can bring your oral health to an optimum condition.

Loose Tooth
This could be for a variety of reasons but the good news is its not out. We may be able to save the tooth. Call us right away and in the meantime ice the area and take some over the counter medication for pain relief. Time is of essence here to save the tooth.

Food impaction
Sometimes food can get lodged in between your teeth or gums and cause pain. It can be annoying, painful and cause infection & cavity. It needs to be taken out in a timely manner. Try taking it out using a floss or toothpick. If you are unsuccessful, call us and we can take care of it for you.

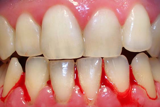
Bleeding gum or cheek
Once in a while you may bite your tongue or cheek while eating. Sometimes it can be painful and traumatic due to bleeding. If the wound is deep, you may need stitches. Try to rinse your mouth with warm salt water and use gauze to put some pressure on the wound to stop bleeding. Call us if the bleeding does not stop. Go to the ER if we are not available.
How can we help you with your dental emergency?
We have always maintained good infection control. In light of COVID19, we have further heightened our sterilization standards and made adjustments to our patient treatment protocol along every touch point in the office. We will screen you before making the appointment but if you have any symptoms of COVID19, please get that addressed before addressing your dental emergency.

Tele-dentistry
Get a virtual online consultation with one of our dentists via video chat. This way you can feel safe while getting professional diagnosis and recommendation.

Prescriptions
Depending on our video consultation diagnosis, we will be able to advise you to take over the counter medication or provide prescription to handle your infection or pain.

Emergency Dentistry
Dental emergencies do not belong in the Emergency Room and the Emergency Room heroes are not equipped to treat dental issues. Unless you are sick with COVID19 or other type of contagious illness, we would like you to call us so we can address your dental concerns.

In Office Visit
After our video consultation, if we determine that you need to be seen in our office to take care of your dental emergency, we will schedule you for an in-office visit to address your concern in a timely manner.

Why CHOOSE US?
We are very passionate about dentistry and want to improve the oral health of as many people as possible in our community. Our doctors have a combined 45 years of experience treating patients with their oral heath. We were awarded the Best of Forsyth in 2020 & 2021 by the Forsyth County Magazine. Our Dr. Venkatesh was named Atlanta’s Top Dentist in 2020 & 2021 as well. We have well trained and friendly staff members. We use state of the art equipment and highest quality materials. We treat you like you are one of our own. We have been serving the North Georgia community for well over 6 years and our patients love us. Don’t take our word for it. Check us out on Google and Facebook. See below what our patients have to say about us!




















































testimonials from our patients
Our patients love us, the service and the staff. We are truly grateful for the wonderful testimonials from our beloved patients. We are one of the highly rated dental offices in the area with convenient hours.
This very polite doctor and her staff is an excellent example of the true meaning of the notion of “patient care ” or putting the patient first. They usually close at 5pm. I walked in on 12/18/19 at 4:30 pm. The staff took my pains to the doctor who said that she currently was dealing with other patients but she will see me if I waited. I waited till about 4:45pm and was taken in to see her. At that moment I wanted an extraction for an intermittent pain that was with me for several months and at times most unbearable. The doctor decided to help me by doing the extraction. In all the process went well beyond 5:30pm. Her staff stayed over time…they WERE ALL LATE FOR THEIR CHRISTMAS PARTY….they put the patient first.
The NICEST STAFF, seriously!! I chipped a tooth a week ago and hated to smile since then. I went in with no appointment and they got worked on me.. Now I’m confident with smiling again and just really appreciate the energy, work and everything they’ve done. Shamira was perfect!!
Great facility & wonderful staff! Excellent service. Clean professional. Good price . Good Hospitality and care by front desk professionals.
My first visit was excellent. The doctors answered every question I had, and made sure to explain everything in great detail. The staff was super nice, and Pritania is a great assistant that went above and beyond to make me feel at home.
Love this place! It’s very clean and comfortable, and the staff is great! They are very informative, professional and caring. Billing is done right and they resolve issues with the insurance companies rather quickly. Sonia has the greatest energy! She is very personable and funny too! She just brightens up your day😊! You will have a wonderful experience if you visit here. I highly recommend Reach Dental and their staff as your new dental care team👍👍👍!
Each visit to Reach Dental has been an awesome experience. The dental office is clean and staff are caring and friendly. Customer service, Sonia has been exceptional! Dr. Venkatesh, attentive and extremely caring! Jackie and Aracelly do wonders with dental hygiene. This is the place to go for dental care.
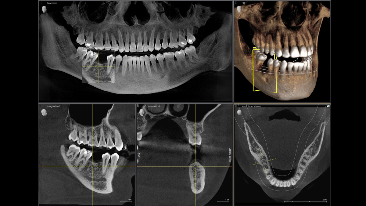
ALL DIGITAL STATE OF THE ART EQUIPMENT
We use state of the art all digital equipment including 3-dimensional x-ray to accurately diagnose your oral health and provide precise treatment. We use advanced dental laser. By using dental laser we are able to minimize anesthesia/shots. We also provide one day crowns using CEREC. We mill our crowns in our in-house lab. Your safety & comfort is our #1 priority. See below for some of the tools we use to provide quality dental care for our beloved patients.


Dental Laser


Digital Scanner


Ceramic Mill


Ceramic Oven


3D XRay


DENTAL EMERGENCY
Dental Emergencies do NOT belong in the ER. Get timely treatment and save time and money by calling us @ (706) 725-4926. During after hours or if your situation does not need immediate help, please fill out the form and we will be in touch with you ASAP. If you dont hear back from us within 1 business day, please call us.